Cirugía de Mínima Invasión en Pie Diabético

Pod. Paty Villanueva – Dr Luis Villanueva

Madrid España Noviembre 2025

Puerto Vallarta, Mexico

¿Qué le haría a este paciente?

Dr. Luis Villanueva

Pie Diabetico en Riesgo Mecanico

  • Evitar o Tratar
  • Úlcera Neuropática
  • Pie de Riesgo Profiláctico

Dr. Luis Villanueva – Pod. Paty Villanueva

Indicación Anatómica

  • Cualquier tipo de deformidad que altere la anatomía de los dedos
  • Desviación; Dorsal, Plantar, Lateral y Medial
  • Dedos en garra
  • Dedos en martillo
  • Dedos supraducto

PULSOS (flujo)

Dr. Luis Villanueva – Pod. Paty Villanueva

Ley de Wolff - 1892

Cargas Normales -> Huesos Normales

Cargas Anormales->Huesos Anormales

Factor Mecánico en el Pie Diabético

  • Mala Alineación
  • Contractura de Tejidos Blandos
  • Caída de la Barra Metatarsal (Arco Transverso)
  • Hiperpresión Plantar (Queratosis-Úlcera)
  • Dedos de Garra (Úlcera)

Dr. Luis Villanueva - Pod. Paty Villanueva

Principios de la Técnica

Corrección en el ápice o ángulo de la deformidad

Fijación Dinámica Blanda

  • Fracturas Múltiples
  • Osteotomías
  • Liberación de Partes Blandas (Contractura)
  • Tenotomías y Capsulotomías
  • Realineación Anatómica
  • Vendaje Blando, protege las heridas, alineación del pie, estabilidad relativa de las osteotomías
  • Marcha con carga total inPieDiabeticota

¿Cuándo Inicia la Cirugía?

Sindrome Neuroisquemico

Nunca Cirugia

Hasta Tener Flujo

Pie de Riesgo Mecánico en Diabético

Úlcera Neuropática Crónica

2 Sem. Post-Op. - 9 Sem. Post-Op.

Seguimiento a Largo Plazo

5 Años de Post-Operatorio

MANEJO ORTOPEDICO - NO ORTOPEDICO

Dr. Luis Villanueva - Pod. Paty Villanueva

4ta. Semana de Post-Operatorio

5 años Úlcera Plantar Recidivante

Dr. Luis Villanueva

Pie de Riesgo Rígido Estructurado

Dr. Luis Villanueva

3 Semanas de Post-Operatorio

Dr. Luis Villanueva

Ulcera Neuropatica

3 semanas de Post-Operatorio

Amputación del 2do dedo Mal Indicada

Dr. Luis Villanueva

Dedo Supraducto - Metatarsalgia

Pre y Post op

Dr. Luis Villanueva

Dedo Supraducto - Metatarsalgia

Dr Meyerson (USA)

Pre y Post op

Dr. Luis Villanueva

Neuropatía de Charcot

Pre y Post op

Dr. Luis Villanueva

Pie de Charcot

Dr. Luis Villanueva

Úlcera Neuropática 4to MT

Simple Osteotomía Percutánea

SRIS

Dr. Luis Villanueva

Deformidades Postraumáticas Quemaduras

4to y 5to Dedos Píe Izquierdo

Dr. Luis Fernando Villanueva Hernández

Caso Clínico

  • Masculino 50 años
  • Quemaduras al 1 año de edad
  • Amputación Parcial del 5to Dedo
  • Deformidad en Flexión Dorsal de 4to y 5to Dedos, desde la infancia
  • Su Padre lo obligaba a utilizar calzado apretado, para corregir la deformidad
  • Actualmente ya no tolera utilizar zapato cerrado
  • Dolor Severo y Limitación Funcional
  • Callos Dorsales
  • Cicatrices y Fibrosis en Dorso del Pie

Foto Clínica

Post Inmediato

Comparativo Pre y Post Op.

Caso Clínico

  • Femenino de 56 años de Edad
  • Refiere Diagnostico de Dedos en martillo desde su infancia
  • 1 cirugía pie izquierdo y 2 en pie derecho (USA)
  • Cirugías en Pie Derecho hace 3 y 5 años
  • Depresiva, relación con el dolor, patología mandibular
  • Actualmente con dolor severo y limitación de la Función de Pie Derecho, día y noche con irradiación a todo el MP
  • Movimientos involuntarios 5to dedo de Pie Derecho, día y noche mientras este en reposo
  • Onicomícosis y dolor por fricción en 2do Dedo
  • Vive en San Diego Ca. viene a operarse en Mexico

Dr. Luis Villanueva

Fotos Clínicas Pre Op.

Dr. Luis Villanueva

Movimientos Involuntarios Permanentes dia y Noche en Reposo 5to Dedo

Dr. Luis Villanueva

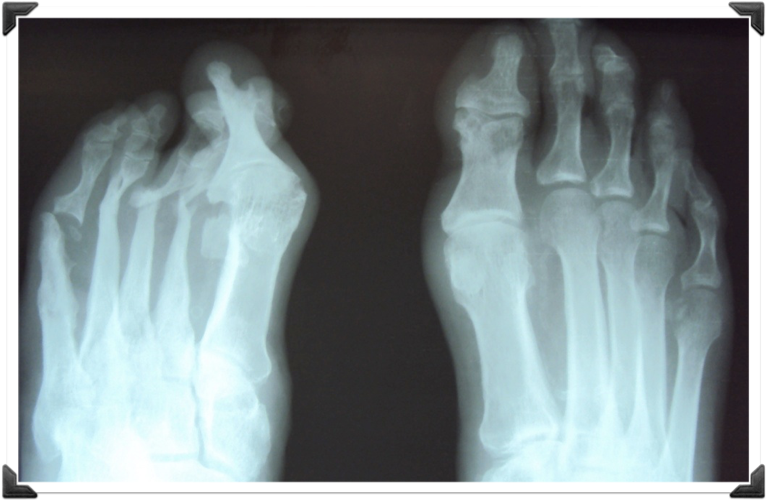
Rx Pre Operatorias

Cabeza del 2do MTT deformidad en flexion

Fusion Interfalangica de 2,3,4 y 5to Dedos

Dr. Luis Villanueva

Clínica Post Op.

Dr. Luis Villanueva

Comparativo Clínica Pre y Post Op.

Dr. Luis Villanueva

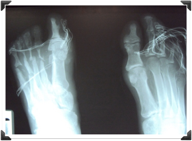
Rx Post Operatorias

Dr. Luis Villanueva

Rx Comparativas Pre y Post Op.

Dr. Luis Villanueva

Clínica Post Op.

Distonia Focalizada

Dr. Luis Villanueva

Caso E

Dr. Luis Fernando Villanueva Hernández

Foto Clínica

Rx Pre Op.

Caso Clínico

  • Femenino 59 años
  • HALLUX VALGUS
  • DEDOS EN GARRA
  • SOBRECARGA METATARSAL
  • JUANETE DE SASTRE
  • DEPORTISTA

Clínica Post Op.

Rx 3 meses Post Op

Rx 6 meses Post Op.

Rx 1 año 3 meses de Post Op.

Caso Clínico

  • Masculino 73 años
  • Extranjero, Vacacionista
  • Trauma de Mano Izquierda hace 5 años
  • Reducción cerrada bajo Anestesia Regional
  • No Control de Rx

Foto Clínica

Foto Clínica

Rx Preoperatoria

Dedo en Martillo 3er dedo

Luxacion Inveterada con Anquilosis

Tratamiento

  • Ninguno
  • Conservador ?
  • Quirúrgico ?
  • Anestesia ?
  • Fijacion Interna ?
  • Inmovilizacion ?

Rx Postoperatorias

Postop Clínico

Postop Clínico

Agradecimientos

Gracias por Siempre

Stephen Isham

Dr. Luis Fernando Villanueva Hernández

Madrid España 2025

Paciente Geriátrico-Deformidades Mayores

CIRUGÍA MÍNIMA INVASIVA DE PIES UTILIDAD

Dr. Luis Fernando Villanueva Hernández

Madrid España Noviembre 2025

Paciente Geriatrico

  • Edad: Arriba de 65, Arriba de 75
  • Antecedentes: Enfermedad Comorbida
  • Hipertension Arterial, Diabetes Mellitus, Parkinson, Alzheimer

Deformidades Mayores de Los Pies

  • Discriminación Familiar y Medica
  • Peloteo Quirúrgico por Impericia o Discriminación Humana (Flojera)
  • IMPERICIA
  • Que podemos hacer por estos Pies?

Todo,Todo, Todo…………….(Flujo Sanguíneo)

Se comporta mejor que un paciente joven, Resultado Clínico, funcional y Estético Mejor

Mas agradecido

Don Humberto

  • Edad: 84 años
  • Antecedentes: Diabetes Mellitus
  • Padecimiento Actual: Dolor, Deformidad, Limitación Funcional
  • Ulceras Neuropaticas CRONICAS En Ambos Pies
  • Onicomicos Cronica en Ambos Pies
  • deformidades mayores
  • Tratamiento Podologico Cronico , Peloteo Quirúrgico

Fotos Clínicas

IZQ - DER

Rayos X

Izq - Der

Cirugia Si o No?

Post op Clínico

Rayos X Post op

Rayos X Comparativas

Comparativo Clínico

derecho - izquierdo

Estado Actual

  • Asintomático
  • Pie de Riesgo
  • Manejo
  • Curativo
  • Profiláctico

Doña Maria

  • Edad: 70 años
  • Antecedentes: Negativos
  • Padecimiento Actual: Dolor, Deformidada, Limitacion Funcional

Fotos Clínicas

Izquierdo - Derecho

Fotos Clínicas

Rayos X

Rayos X

Cirugia Si o No?

Comparativo Clínico

Comparativo Clínico

Rayos X Post op

Rayos X Comparativas

Post op Clínico

Post op Clínico

Derecho - Izquierdo

Post op Clínico

Derecho - Izquierdo

Caso Clínico Pie de Riego

  • Profiláctico y Terapeutico
  • Femenino 60 años
  • Cirugia Fallida
  • Tecnica Abierta Canadiense

Caso Clínico Pie de Riego

Profiláctico y Terapeutico

Post op Clínico

  • Osteotomía Cuña Dorsal 1er Dedo
  • Tenotomia del Flexor del 1er Dedo
  • Osteotomía de Falange 2do Dedo

Puede ser procedimiento de Consultorio

Doña Francisca

  • Edad: 60 años
  • Antecedentes: Artritis Reumatoide
  • Padecimiento Actual: Dolor, Deformidad, Limitación Funcional, Crónica

Fotos Clínicas

Rayos X

Cirugia Si o No?

Sudamérica

Comparativo Clínico

Rayos X Post op

Post op Clínico

Estado Actual

  • Marcha Normal, no asistida
  • Sin dolor solo molestia ocasional

Gracias

Logo